Accueil
Plan d'accès
Cas cliniques
Fiches Conseils
Vidéos
Prendre RDV en ligne
Contactez nous
Preconsultation
DOCTEUR MARQUES - CHIRURGIEN DENTISTE
Chirurgien-Dentiste à Gif sur Yvette
Appeler
9 Place du marché neuf, 91190 GIF SUR YVETTE
+33 1 60 12 42 30
Accueil
Plan d'accès
Cas cliniques
Fiches Conseils
Vidéos
Prendre RDV en ligne
Contactez nous
Preconsultation
DOCTEUR MARQUES - CHIRURGIEN DENTISTE
Chirurgien-Dentiste à Gif sur Yvette
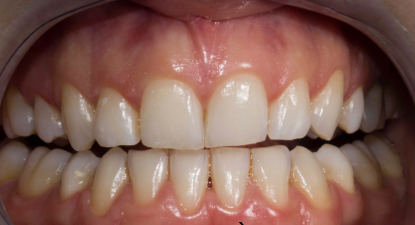
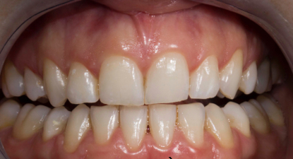
CAS CLINIQUES - BLANCHIMENT
Fiches conseils
Partager
Twitter
Partager
Partager
Envoyer
Copier
DOCTEUR MARQUES - CHIRURGIEN DENTISTE
9 Place du marché neuf
91190
GIF SUR YVETTE
+33 1 60 12 42 30
Conditions Générales Utilisation
Mentions légales
Politique de confidentialité et charte cookie
Charte déontologique
Ordre national
Annuaires chirurgiens dentistes
Hygiène & Asepsie
Honoraire & rembousement
Création par
Connexion